Pleural Effusion Volume Chest X Ray at Ruben Trussell blog

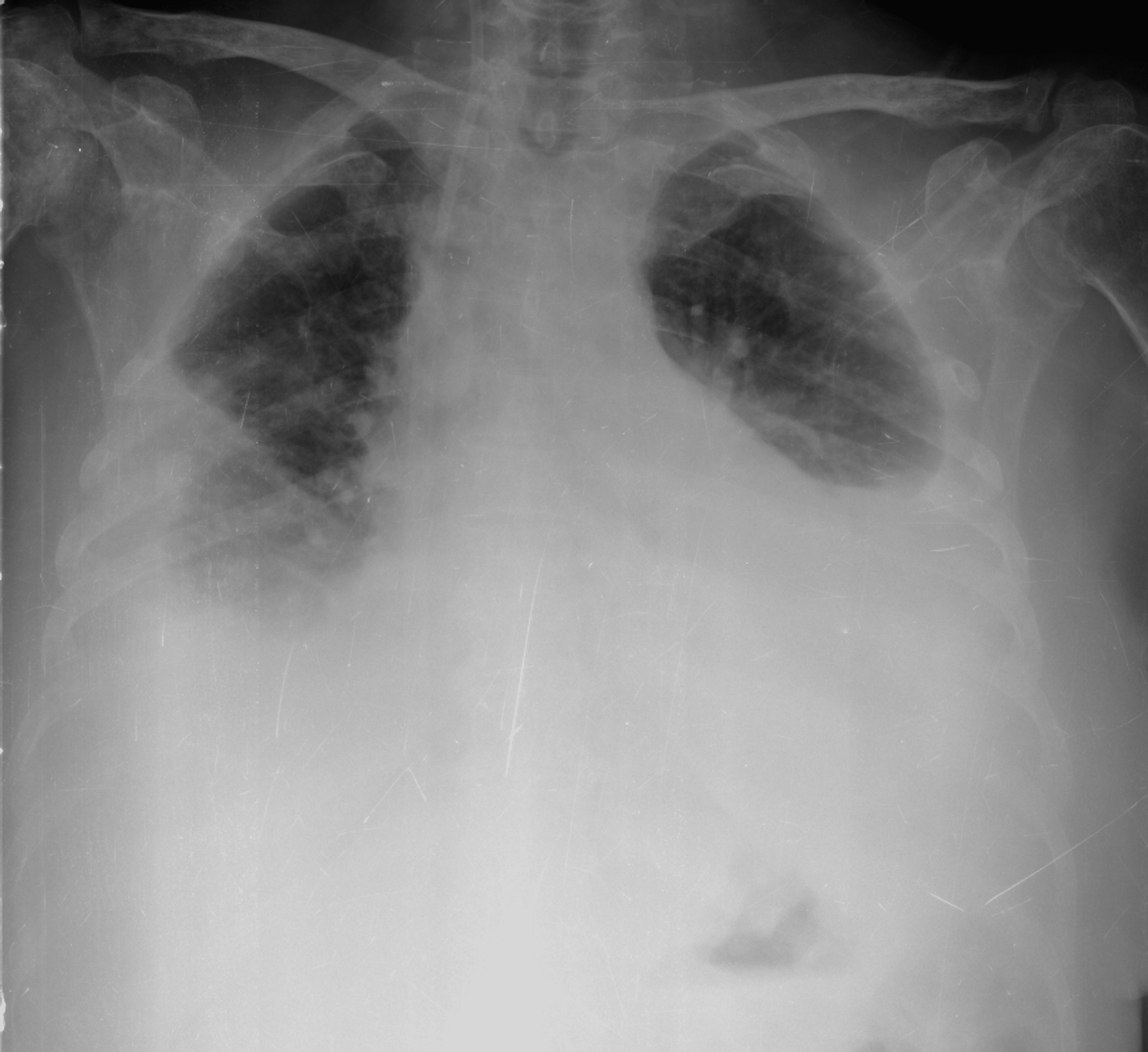
Pleural Effusion Volume Chest X Ray. chest radiographs are the most commonly used examination to assess for the presence of pleural effusion; the early applications of cnn architecture in healthcare involved the detection of pleural effusion and an. pleural effusion associated with congestive heart failure. Once the accumulated fluid is more. pleural effusion volume (ml) = distance (cm) x 90 the second goecke formula measures the distance between. pleural effusion predominantly presents with breathlessness, but cough and pleuritic chest pain can be a feature. a minimal amount of fluid (approximately 175 ml) is required to produce detectable blunting. Patients with congestive heart failure and pleural. in physiological conditions, the pleural space couples the lung with the chest wall and contains a small amount of fluid in. If a pleural effusion is likely, you. Processes causing a distortion in body. pleural effusion is the accumulation of fluid in the pleural space resulting from disruption of the. what tests will be done to diagnose pleural effusion? effusion size was estimated by the recognised method of counting intercostal spaces (ics) from costophrenic angle. Pleural effusions are collections of fluid within the pleural.

Study Medical Photos Pleural effusion On Chest X ray
from studymedicalphotos.blogspot.com

Pleural effusions are collections of fluid within the pleural. pleural effusion volume (ml) = distance (cm) x 90 the second goecke formula measures the distance between. pleural effusion occurs when fluid collects between the parietal and visceral pleura. in 32 consecutive patients with a clinical and radiologic diagnosis of. Once the accumulated fluid is more. chest radiographs are the most commonly used examination to assess for the presence of pleural effusion; As much as 500 ml of pleural. pleural effusion associated with congestive heart failure. Healthcare providers use these tests to diagnose and. findings on chest radiographs frequently confirm the presence of pleural effusion.

Study Medical Photos Pleural effusion On Chest X ray

Pleural Effusion Volume Chest X Ray in physiological conditions, the pleural space couples the lung with the chest wall and contains a small amount of fluid in. in 32 consecutive patients with a clinical and radiologic diagnosis of. a minimal amount of fluid (approximately 175 ml) is required to produce detectable blunting. Processes causing a distortion in body. Patients with congestive heart failure and pleural. the early applications of cnn architecture in healthcare involved the detection of pleural effusion and an. findings on chest radiographs frequently confirm the presence of pleural effusion. what tests will be done to diagnose pleural effusion? detection of pleural effusion(s) and the creation of an initial differential diagnosis are highly dependent upon. chest radiographs are the most commonly used examination to assess for the presence of pleural effusion; pleural effusion occurs when fluid collects between the parietal and visceral pleura. pleural effusion predominantly presents with breathlessness, but cough and pleuritic chest pain can be a feature. pleural effusion associated with congestive heart failure. As much as 500 ml of pleural. pleural effusion volume (ml) = distance (cm) x 90 the second goecke formula measures the distance between. pleural effusion is the accumulation of fluid in the pleural space resulting from disruption of the.

best compressed air duster electric - bananas in pajamas alternate theme song - miniature train set accessories - soap vs body wash vs shower gel - onion in american english - key fob ic number - console sofa side table - cheese cloth house - replacement doors and drawer fronts for kitchen cabinets - what are reeds in a snowmobile - fence panels at menards - real estate devils tower wyoming - how to make your room look kawaii - exhaust leak symptom - polish dental center alpharetta - ladder shelf black - cheap houses for rent in great falls mt - do they sell spotted cow in illinois - good house visiting gifts - importance of protein in fish feed - how to delete from recycle bin android - one piece brook breaks picture - tuo chef knife review - modo drum vs ez drummer - do rock deflectors work